Here are a couple of sample radiology reports:

Patient 1, a 73 year old woman with low back pain:

























Patient name:  Sample	 	Sex:  F

Date of Birth:  26/11/32		Date of Study:  02/05/06

Referring Chiropractor:  Sample	 


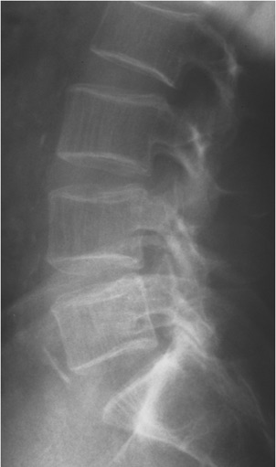
LUMBAR SPINE:

Frontal and lateral views are submitted.  Viewed coronally, there is a mild left convexity with the apex at L3.  The left femoral head and iliac crest are lower than the right by 12mm.  Viewed sagittally, the upper lumbar spine is slightly hypolordotic.  

Bone density is moderately diminished, with increased lucency of all osseous structures and vertical striations in the vertebral bodies.  Mild osteophytic proliferation is seen on the vertebral bodies from L2 through L5.  Calcific plaquing is visible along the course of the abdominal aorta.  

IMPRESSIONS:

1.	Atherosclerosis.
2.	Moderate osteoporosis.  Follow up is recommended. 
3.	Mild spondylosis, L2 through L5.
4.	Apparent 12mm short left leg.  Clinical correlation is recommended. 
5.	Postural alterations as described above. 

RECOMMENDATION:
 
1.	The osteoporosis is most likely related to the patient’s age, however the possibility of an aggressive osseous destructive process cannot be ruled out on the basis of these films alone.  Clinical correlation and consideration of referral to GP for further investigation is recommended.


Patient 2, a 60 year old male with knee pain:
























Patient name:  Sample 	 	Sex:  M

Date of Birth:  26/05/44		Date of Study:  15/08/05

Referring Osteopath:  Sample	 


RIGHT KNEE:

Frontal and lateral views are submitted.  All osseous structures are in normal anatomic position.

Bone density is adequate.  Small osteophytes are noted at the distal femur and proximal tibia.  The medial tibiofemoral joint space is mildly reduced.  Calcification is noted within the tibiofemoral joint space, parallel to the subchondral bone.  There is a well-defined ossification in the soft tissues, posterior to the femoral condyles.

IMPRESSIONS:

1.	Calcium pyrophosphate deposition disease.
2.	Mild degenerative joint disease.
3.	Fabella. 


If you like the quality and style of these reports, 
    please contact us:
                                 info 
                                ‘at’ 
                                YoungRadiology 
                                dot 
                                com
                (type this as a usual email address with the @             
                symbol in place of ‘at’. I have had to write it 
                this way in order to reduce spambot email.)


© Young Radiology, all rights reserved








chiropractic radiology x-ray radiologist diagnostic imaging reports